รากฟันเทียม 1 ซี่ (Single Tooth Implant)
ทางเลือกทดแทนฟันที่ใกล้เคียงธรรมชาติที่สุด
ไม่กรอฟันข้างเคียง เคี้ยวได้มั่นใจ และดูแลระยะยาว
วางแผนการรักษาโดยทันตแพทย์เฉพาะทางด้านรากฟันเทียม
พร้อมการวิเคราะห์ด้วย CBCT และ Digital Workflow
รากฟันเทียม 1 ซี่ เหมาะกับใคร?
- ผู้ที่สูญเสียฟันไป 1 ซี่ จากการถอนฟัน อุบัติเหตุ หรือฟันแตก
- ไม่ต้องการกรอฟันซี่ข้างเคียงเพื่อทำสะพานฟัน
- ต้องการฟันที่ใช้งานได้ใกล้เคียงฟันธรรมชาติ
- ต้องการผลลัพธ์ที่มั่นคง แข็งแรง และดูแลระยะยาว
ขั้นตอนการรักษารากฟันเทียม 1 ซี่ (Timeline)
1. ตรวจและวางแผนการรักษา
ตรวจด้วย X-ray 3 มิติ (CBCT) และสแกนช่องปาก
เพื่อประเมินกระดูก ตำแหน่งรากฟัน และวางแผนเฉพาะบุคคล
2. ผ่าตัดฝังรากฟันเทียม
ฝังรากฟันเทียมลงในกระดูกขากรรไกร ใช้เวลาประมาณ 30–60 นาที
แผลเล็ก เจ็บน้อย และสามารถกลับบ้านได้ในวันเดียว
3. ระยะรอกระดูกยึด (Osseointegration)
ใช้เวลาประมาณ 2–4 เดือน เพื่อให้รากฟันเทียมยึดกับกระดูกอย่างสมบูรณ์
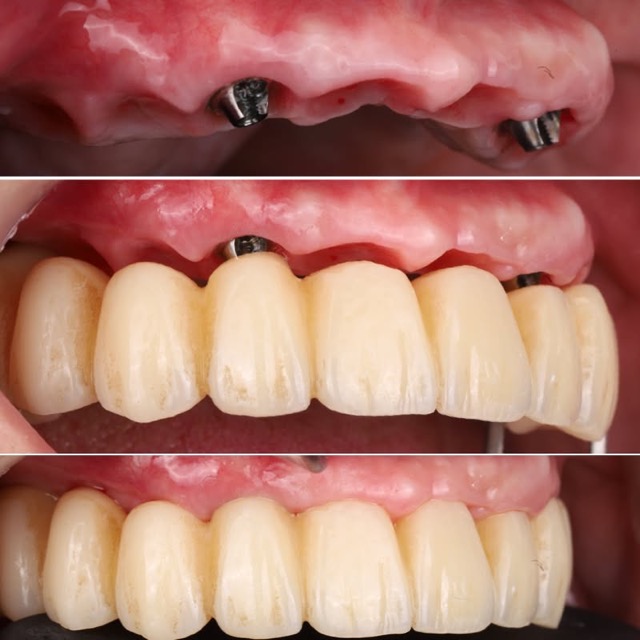
4. ใส่ครอบฟัน (Zirconia Crown)
ใส่ครอบฟันเซอร์โคเนียที่ออกแบบเฉพาะบุคคล
ให้รูปร่าง สี และการใช้งานใกล้เคียงฟันธรรมชาติ
กรณีที่อาจต้อง “ปลูกกระดูก”
ในบางกรณี หากกระดูกขากรรไกรมีปริมาณไม่เพียงพอ
อาจจำเป็นต้องปลูกกระดูกก่อนหรือพร้อมกับการฝังรากฟันเทียม
ทั้งนี้ ไม่ใช่ทุกคนที่ต้องปลูกกระดูก
สามารถประเมินได้อย่างแม่นยำจาก CBCT และการตรวจโดยแพทย์
การดูแลหลังทำรากฟันเทียม และการนัด Recall
- แปรงฟันและทำความสะอาดรอบรากฟันเทียมอย่างถูกวิธี
- ใช้ไหมขัดฟัน หรืออุปกรณ์ทำความสะอาดเฉพาะจุด
- มาตรวจติดตามผลและขูดหินปูนตามรอบที่แพทย์แนะนำ
- ช่วยยืดอายุการใช้งานของรากฟันเทียมในระยะยาว
เปรียบเทียบ: รากฟันเทียม 1 ซี่ vs สะพานฟัน
| หัวข้อ | รากฟันเทียม 1 ซี่ | สะพานฟัน |
|---|---|---|
| การกรอฟันข้างเคียง | ไม่ต้องกรอ | ต้องกรอฟันซี่ข้างเคียง |
| ผลต่อกระดูกขากรรไกร | ช่วยชะลอการยุบตัวของกระดูก | ไม่สามารถป้องกันกระดูกยุบ |
| อายุการใช้งาน | ยาวนาน หากดูแลดี | อาจต้องเปลี่ยนในอนาคต |
คำถามที่พบบ่อยเกี่ยวกับรากฟันเทียม 1 ซี่
รากฟันเทียม 1 ซี่ใช้เวลากี่เดือน?
โดยทั่วไปใช้เวลาประมาณ 3–6 เดือน ขึ้นกับสภาพกระดูกของแต่ละบุคคล
เจ็บไหม ต้องพักกี่วัน?
เจ็บน้อย สามารถกลับไปใช้ชีวิตประจำวันได้ภายใน 1–2 วัน
ถ้ากระดูกไม่พอ ยังทำได้ไหม?
สามารถทำได้ โดยอาจต้องปลูกกระดูกเพิ่มเติมตามการประเมินของแพทย์
ครอบฟันบนรากเทียมอยู่ได้นานแค่ไหน?
ครอบฟันมีอายุการใช้งานหลายปี หากดูแลและตรวจติดตามอย่างสม่ำเสมอ
หลังทำต้องทำความสะอาดอย่างไร?
ทำความสะอาดเหมือนฟันธรรมชาติ ร่วมกับการใช้ไหมขัดฟันและอุปกรณ์เฉพาะ
นัดปรึกษารากฟันเทียม 1 ซี่
ตรวจประเมินโดยทันตแพทย์เฉพาะทาง
พร้อมวางแผนการรักษาที่เหมาะสมกับคุณโดยเฉพาะ
